

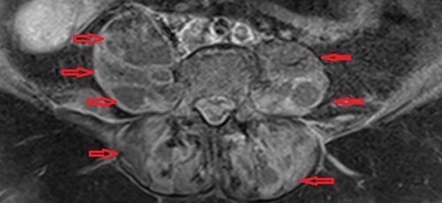
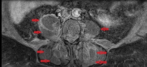
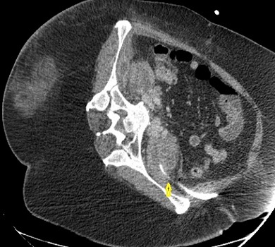
Γυναίκα μέσης ηλικίας παρουσίαζε από ημερών οσφυισχιαλγία οπότε και υποβλήθηκε σε ενδομυική θεραπεία με μη στεροειδή αντιφλεγμονώδη και μυοχαλαρωτικά φάρμακα. Μετά από αρχική μικρή βελτίωση των συμπτωμάτων της παρουσίασε μεγάλη καταβολή δυνάμεων με ανορεξία και ναυτία ενώ προστέθηκε επιπλέον εμπύρετο έως 39.5º C. Εισήχθη σε δευτεροβάθμιο νοσοκομείο όπου έγινε λήψη αίματος για καλλιέργεια και αναπτύχθηκε χρυσίζον σταφυλόκοκκος ευαίσθητος στη μεθικιλλίνη. Η ασθενής υποβλήθηκε σε μαγνητική τομογραφία οσφυικής μοίρας σπονδυλικής στήλης (ΟΜΣΣ) και τέθηκε η υποψία καλοήθους όγκου νευρικού ιστού με συνοδές κύστες. Μετά από μεταφορά σε τριτοβάθμιο υγειονομικό σχηματισμό η ασθενής υποβλήθηκε εκ νέου σε μαγνητική τομογραφία ΟΜΣΣ, λεκάνης και κάτω κοιλίας όπου έγινε σαφές πως πρόκειται για πολλαπλά αποστήματα λαγονοψωίτων μυών άμφω, απιοειδών μυών άμφω και γλουτιαίου μυός δεξιά.
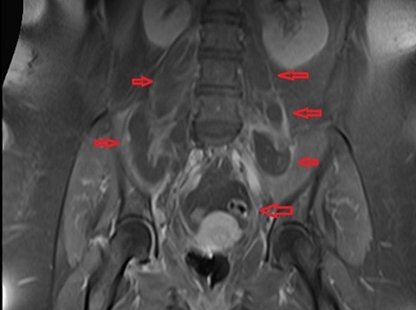
Στις εικόνες της μαγνητικής διακρίνονται τα διάφορα αποστήματα (κόκκινα βέλη) στους μύες (λαγνοψωίτες, απιοειδείς και δεξιό γλουτιαίο).
Το απόστημα του δεξιού λαγονοψωίτη καταλάμβανε ολόκληρη την έκταση του μυός. Τέλος, σημαντικό νέο εύρημα ήταν η παρουσία επισκληρίδιου εμπυήματος το οποίο κρίθηκε ότι δεν χρειάζεται χειρουργείο.
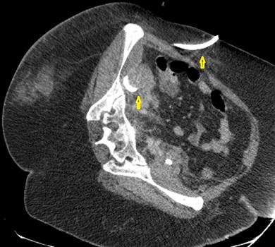
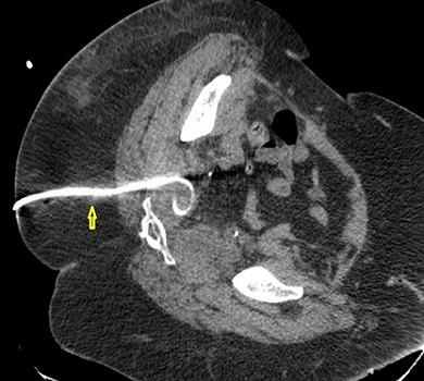
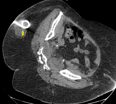
Καλλιέργεια αίματος ανέδειξε παρουσία εκ νέου του σταφυλόκοκκου οποίος όμως αναγνωρίζεται ως μεθικιλλίνη ανθεκτικός (MRSA). Τέθηκε σε διπλή αντισταφυλοκοκκική ενδοφλέβια αγωγή με κεφταρολίνη και βανκομυκίνη. Διοισοφάγειο υπερηχοκαρδιογράφημα επιβεβαίωσε την απουσία ενδοκαρδίτιδας. Την τρίτη ημέρα νοσηλείας παρακεντήθηκε υπό αξονικό τομογράφο και τέθηκαν δύο παροχετεύσεις στις αποστηματικές κοιλότητες των λαγονοψωιτών μυών άμφω. Από τη δεξιά παρακέντηση προέκυψε πυώδες υλικό ενώ από την αριστερή πυοαιματηρό. Την τέταρτη ημέρα τέθηκαν άλλες δυο παροχετεύσεις, μια στον αριστερό απιοειδή μυ και μια στην αποστηματική κοιλότητα του δεξιού γλουτιαίου μυός.
Παρακάτω φαίνονται οι παροχετεύσεις (κίτρινα βέλη) που καταλήγουν εντός των αποστηματικών κοιλοτήτων σε διάφορες τομές της αξονικής τομογραφίας.
Μετά την τοποθέτηση των παροχετεύσεων η ασθενής παρουσίασε σαφή βελτίωση της κλινικής της εικόνας ενώ οι δείκτες φλεγμονής σημείωσαν πτώση ήδη από την δεύτερη ημέρα και ενώ βρισκόταν υπό διπλή αντισταφυλοκοκκική αγωγή. Το περιστατικό που περιγράφεται εδώ θεωρείται αρκετά σπάνιο. Η ασθενής ήταν παχύσαρκη και εμφάνιζε μεταβολικό σύνδρομο – προδιαβήτη. Τις πρώτες ημέρες νοσηλείας της παρουσίαζε υψηλά μεταγευματικά σάκχαρα τριχοειδικού αίματος με τιμές που έφταναν τα 280 mg/dl. Ωστόσο το φαινόμενο αυτό υφέθηκε από την δεύτερη ημέρα νοσηλείας της προφανώς λόγω ελέγχου της λοίμωξης. Η παρουσία ενός ευαίσθητου στελέχους χρυσίζοντος σταφυλοκόκκου δεν μας απέτρεψε από το να λάβουμε δικές μας καλλιέργειες αίματος. Το στέλεχος που καλλιεργήθηκε στο δικό μας εργαστήριο ήταν ένας ανθεκτικός στη μεθικιλλίνη σταφυλόκοκκος (MRSA: methicillin resistant staphylococcus aureus). Επειδή η ασθενής είχε επισκληρίδιο εμπύημα οφείλαμε να χορηγήσουμε αντιμικροβιακά φάρμακα με καλή φαρμακοκινητική στο κεντρικό νευρικό σύστημα (σε πιθανή επινέμηση στο νωτιαίο σωλήνα). Η χρήση της βανκομυκίνης, ενός δραστικού αντισταφυλοκοκκικού παράγοντα κρίθηκε η βέλτιστη μιας και είχαμε τη δυνατότητα μέτρησης επιπέδων του φαρμάκου στο πλάσμα. Βάσει των επιπέδων βανκομυκίνης η ασθενής ελάμβανε 1.500mg κάθε 8 ώρες (από 1.500mg κάθε 12 ώρες την πρώτη ημέρα νοσηλείας της). Η μέτρηση των ελάχιστων επιπέδων του φαρμάκου γίνεται προκειμένου να αποφευχθούν οι τοξικές επιδράσεις του (νεφροτοξικότητα και ωτοτοξικότητα).